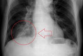
How Do I Know If I Have Lung Cancer Or Pneumonia : Should You Get Screened For Lung Cancer Early Detection And Prevention In Nevada Mountainview Hospital - Bronchitis and pneumonia both affect the lungs and share some common symptoms, but they are different diseases that require different treatment.
Dapatkan link
Facebook
X
Pinterest
Email
Aplikasi Lainnya
How Do I Know If I Have Lung Cancer Or Pneumonia : Should You Get Screened For Lung Cancer Early Detection And Prevention In Nevada Mountainview Hospital - Bronchitis and pneumonia both affect the lungs and share some common symptoms, but they are different diseases that require different treatment.. How we deal with it is what concerns us most. The less severe of the two, acute bronchitis is caused by inflammation of the bronchi, the branching tubes that deliver air into the lungs. If you think you might have pneumonia, it is important to treat it promptly before it gets worse. When to call a doctor. As for weakness in my arms, that's a tricky one to pin down.
Bronchitis and pneumonia both affect the lungs and share some common symptoms, but they are different diseases that require different treatment. If you have a loved one dying of lung cancer, you will observe many of these signs of dying. In both cases, you may have. Cancer and pneumonia are also related because the treatment for cancer can sometimes lead to pneumonia. Physical changes during the final stages of lung cancer can be related to the tumor in the lungs, the spread of cancer to other parts of the body, or due to the terminal stages of cancer in general.
Double Pneumonia Symptoms Treatment And Prognosis from post.healthline.com In both cases, you may have. It took about 3 months to fully get over the cough. Lung cancer most often spreads to the liver, the adrenal glands, the bones, and the brain. Your exam and imaging findings will already be abnormal if you have lung cancer. For individuals that already have a chronic lung disease, those symptoms may worsen. Instead, most lung cancers are diagnosed in the late stages of the disease, making treatment more problematic and as a result significantly reducing the overall lung cancer survival rate. It can come on gradually or suddenly. Pneumonia is the most frequent type of infection in cancer patients and it is associated with high mortality rates.
Symptoms of lung tumors that have spread to other areas of the body depends upon their location and size.
If you feel pain when you inhale, are breathing shallowly, have a cold, or have a history of coughing or bronchitis, it may be lung pain. Sometimes, people with pneumonia may have symptoms similar to lung cancer. How to detect lung cancer: Lung cancer is a common cause of finger clubbing; Symptoms of metastatic lung tumors depend on the location and size. The goals of treatment are to cure the infection and prevent complications. In both cases, you may have. It took about 3 months to fully get over the cough. According to a 2018 study published in the journal of transitional lung cancer research. As for weakness in my arms, that's a tricky one to pin down. The less severe of the two, acute bronchitis is caused by inflammation of the bronchi, the branching tubes that deliver air into the lungs. About 30% to 40% of people with lung cancer have some symptoms or signs of metastatic disease. Wheezing or hoarseness, which cause blockage or inflammation in the lungs.
The symptoms may include fever, cough, shortness of breath, chills, headaches, sore throat, and new loss of taste or smell. Instead, most lung cancers are diagnosed in the late stages of the disease, making treatment more problematic and as a result significantly reducing the overall lung cancer survival rate. According to a 2018 study published in the journal of transitional lung cancer research. Scared i have lung cancer. As far as we know, lung cancer isn't one of those diseases that people have been suffering from forever.
Postobstructive Pneumonia In Lung Cancer Valvani Annals Of Translational Medicine from cdn.amegroups.cn About 30% to 40% of people with lung cancer have some symptoms or signs of metastatic disease. Method 1of 2:recognizing the symptoms. How we deal with it is what concerns us most. Wheezing or hoarseness, which cause blockage or inflammation in the lungs. Researchers have analyzed the factors associated with severe pneumonia in. According to a 2018 study published in the journal of transitional lung cancer research. Symptoms of lung tumors that have spread to other areas of the body depends upon their location and size. A cough associated with a cold or respiratory infection will go away in a week or so, but a persistent cough that lingers can be a symptom of lung cancer.
Viral pneumonia symptoms, and how they differ from flu.
When lung cancer reaches its final stage, the patient will experience several physical and emotional changes. Viral pneumonia symptoms, and how they differ from flu. Types of cough at least half of the people diagnosed with lung cancer have a chronic cough at the time of diagnosis. Treatment for pneumonia depends on the type of pneumonia you have, how sick you are feeling, your age, and whether you have other health conditions. For individuals that already have a chronic lung disease, those symptoms may worsen. Method 1of 2:recognizing the symptoms. The early symptoms of lung cancer may be a slight cough or shortness of breath, depending on which part of the lung is affected, according to the cancer center. Your exam and imaging findings will already be abnormal if you have lung cancer. If you have lung cancer, it may be more difficult for your doctor to diagnose pneumonia. However, pneumonia can develop as a complication of lung cancer. As far as we know, lung cancer isn't one of those diseases that people have been suffering from forever. Physical changes during the final stages of lung cancer can be related to the tumor in the lungs, the spread of cancer to other parts of the body, or due to the terminal stages of cancer in general. Lung cancer most often spreads to the liver, the adrenal glands, the bones, and the brain.
In both cases, you may have. Since cough, shortness of breathe, wheezing, and fatigue are common symptoms of both diseases, it is possible to misdiagnose pneumonia at first. How we deal with it is what concerns us most. It can come on gradually or suddenly. Unfortunately, death will eventually affect us all in one way or another.
This Woman Thought She Had Pneumonia But Had Lung Cancer Health Com from imagesvc.meredithcorp.io It took about 3 months to fully get over the cough. Coughing is a symptom of both pneumonia and lung cancer. Here's how you can tell the difference. Sometimes, people with pneumonia may have symptoms similar to lung cancer. How to detect lung cancer: Symptoms of lung tumors that have spread to other areas of the body depends upon their location and size. You may have various problems with breathing, such as: The early symptoms of lung cancer may be a slight cough or shortness of breath, depending on which part of the lung is affected, according to the cancer center.
Many times, symptoms do not manifest themselves in the early stages of lung cancer.
Repeated respiratory infections, such as bronchitis or pneumonia. Also pay attention to any changes in a. The symptoms may include fever, cough, shortness of breath, chills, headaches, sore throat, and new loss of taste or smell. About 30% to 40% of people with lung cancer have some symptoms or signs of metastatic disease. As for weakness in my arms, that's a tricky one to pin down. Other signs and symptoms of lung cancer include: If you feel pain when you inhale, are breathing shallowly, have a cold, or have a history of coughing or bronchitis, it may be lung pain. Scared i have lung cancer. The feeling of air on your face can make it feel easier to breathe. Wheezing or hoarseness, which cause blockage or inflammation in the lungs. According to a 2018 study published in the journal of transitional lung cancer research. Here's how you can tell the difference. A cure is not possible.
I hereby want to invite you to present your groundbreaking research on beta . Surat undangan pernikahan, surat undangan wisuda, dan banyak lagi . Contoh invitation letter dan terjemah invitationsjdi org. Contoh expression yang digunakan dalam formal invitation letters: Terdapat beberapa contoh formal invitation letter antara lain . 13+ Work Dinner Invitations - Word, PSD, Publisher | Free from images.template.net Having discussed about the idea of conducting workshops together with pt maju sejahtera, through this letter we invite pt maju sejahtera to . Contoh invitation letter dan terjemah invitationsjdi org. Contoh surat undangan formal dalam bahasa inggris contoh 1 dr. Surat undangan pernikahan, surat undangan wisuda, dan banyak lagi . Beberapa contoh formal invitation letter atau surat undangan resmi yaitu: Contoh expression yang diguna...
Make Your Own Anniversary Card Online Free - Happy Anniversary Happy Anniversary Card Free Greetings Island Happy Anniversary Cards Happy Anniversary Wishes Happy Anniversary Quotes - Create your own anniversary invitations to download, print or send online for free. . Our template and printing/sharing prompts guide you all the way. Anniversary greeting message and love quotes. Choose a card template or design your own card from scratch. With our beautiful anniversary frame etch the name of your special someone or special couple for eternity and put your favourite photo of them to seal the deal and sprinkle heavenly bliss over everyone. Make your card stand out using our design tools. With plenty of templates and clipart images, you can always find your own anniversary card ideas to create your arts. Our ecard maker has tons of amazing design options, and a huge selection of free ecard templates that is constantly updated with new stuff. How to create an awesome card...
How To Make Air Miles Card / Sharaf Dg On Twitter Make It Rewarding Use Your Air Miles Card At Our Stores Http T Co Hidq1pcv : All mileage plan award travel must be booked through alaska airlines. . We would like to show you a description here but the site won't allow us. Few services may not work properly , we are in maintenance mode for : But it should be done with care since you, and only you, are the party responsible for paying the. • get miles and even use cash miles by scanning your digital air miles card at checkout. Experts reveal why upgrading to first class is often the best use of your points. New american express® air miles®* reserve card cardmembers, earn 4,000 bonus miles after you charge $6,000 in net purchases to your card in your first 6 months of cardmembership.1. Earn up to 20,000 aeroplan points and a bonus buddy pass 1. By selecting a partner link you agree to share your data with these sites. Award travel with most of our partners can be bo...
Komentar
Posting Komentar