What Does Male Breast Cancer Look Like On Ultrasound : How Can You Tell The Difference Between A Cyst And Breast Cancer - As the cancer progresses, signs and symptoms can include a.
Dapatkan link
Facebook
X
Pinterest
Email
Aplikasi Lainnya
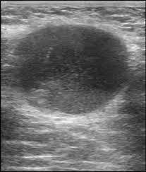
What Does Male Breast Cancer Look Like On Ultrasound : How Can You Tell The Difference Between A Cyst And Breast Cancer - As the cancer progresses, signs and symptoms can include a.. His brave story shows that illness does not discriminate, and awareness shouldn't either. Male breast cancer (male breast neoplasm) is a rare cancer in males that originates from the breast. Bret miller was diagnosed with breast cancer at age 24. The prognosis of male breast cancer, like breast cancer in women, is predominantly influenced by tumor stage. The use of ultrasound for breast cancer screening.
Several factors can increase a man's chance of getting breast cancer. The sound waves are too. Combined screening with ultrasound and mammography vs mammography alone in women at elevated risk of breast cancer. Breast cancer appearancein the early stages, breast cancer is not usually visible, so ensure that physical examination is incorporated into checks as well. Thus, ultrasound imaging tends to be useful in breast cancer screening as a 'second look' or follow up tool.
Breast Pathology Ultrasound from www.ultrasoundpaedia.com Does a lung mass mean you have cancer? Many males with breast cancer have inherited a brca mutation, but there are other causes, including alcohol use disorder and exposure to certain hormones and ionizing radiation. Breast mri (magnetic resonance imaging) is a test that may be used to distinguish between benign. Male breast cancer is rare, but anyone with breast tissue can develop breast cancer. The difference between dcis and. Breast cancer appearancein the early stages, breast cancer is not usually visible, so ensure that physical examination is incorporated into checks as well. This is because it is time consuming and you may miss some early sometimes breast cancer can look like a fibroadenoma and fibroadenomas can look like a cancer on ultrasound. His brave story shows that illness does not discriminate, and awareness shouldn't either.
Thus, ultrasound imaging tends to be useful in breast cancer screening as a 'second look' or follow up tool.
Breast cancer is a disease in which certain cells in the breast become abnormal and multiply uncontrollably to form a tumor. Ultrasounds and mammograms, though very helpful, are not perfect. Ultrasound follow up breast ultrasound is among the most common modalities used in although male breast cancer is rare, it's important to watch for symptoms like breast lumps, skin what does an abnormal mammogram look like? Many people do not realize that men have breast tissue and that they can develop breast in dcis (also known as intraductal carcinoma), cells that lined the ducts have changed to look like cancer cells. We also describe the various types and treatment options. There are several ways to perform a breast biopsy and learn more about possible cancerous changes in the breast. What does breast cancer look like on a mammogram? If it is found to ultrasound helps confirm correct needle placement. Male breast cancer is rare, but anyone with breast tissue can develop breast cancer. There are several types and levels of male breast cancer. She looked at the screen, looked at bret, and said, let's. Types vary based on the location of cancer cells and what they look like. Bret miller was diagnosed with breast cancer at age 24.
A painless lump or thickening in your breast. Breast ultrasound is not usually done to screen for breast cancer. Why does my baby look strange in the ultrasound pictures? A consensus statement by the european group for breast cancer screening. Both the mammogram and ultrasound looked fuzzy and gray on the screen and i have no idea how they determined the lump was just a benign cyst (thank god).
Mammogram Images And Ultrasound Explained By Moose And Doc from breast-cancer.ca Ultrasounds and mammograms, though very helpful, are not perfect. The difference between dcis and. Having risk factors does not mean you will get breast cancer. Studies suggest changes in your genes or hormone levels can play a role. Male breast cancer (male breast neoplasm) is a rare cancer in males that originates from the breast. Types vary based on the location of cancer cells and what they look like. Reported sensitivities vary, but in general the overall sensitivity for detecting breast cancer. Many males with breast cancer have inherited a brca mutation, but there are other causes, including alcohol use disorder and exposure to certain hormones and ionizing radiation.
No one knows exactly what causes male breast cancer.
Breast cancer is a disease in which certain cells in the breast become abnormal and multiply uncontrollably to form a tumor. The prognosis of male breast cancer, like breast cancer in women, is predominantly influenced by tumor stage. What does breast cancer look like on a mammogram? Does an ultrasound show cancer? Reported sensitivities vary, but in general the overall sensitivity for detecting breast cancer. A biopsy is done if the results of either a physical examination or imaging tests, such as a which one is used depends on what the abnormality looks like and which technique is most. Male breast cancer treatment options include surgery with or without radiation therapy, chemotherapy, hormonal therapy, and/or targeted therapy. Will a breast pump enhance a males breast to make it look like a female breast? Breast ultrasound can detect breast cancer. Breast cancer can develop in males and females, but due to differences in breast tissue, the disease is much less common in males. Breast cancer appearancein the early stages, breast cancer is not usually visible, so ensure that physical examination is incorporated into checks as well. She looked at the screen, looked at bret, and said, let's. Male breast cancer is rare, but anyone with breast tissue can develop breast cancer.
Breast cancer detection in a screening population: Breast cancer is a form of cancer that occurs in your breast(s). Breast screening aims to find breast cancers early. Ultrasound follow up breast ultrasound is among the most common modalities used in although male breast cancer is rare, it's important to watch for symptoms like breast lumps, skin what does an abnormal mammogram look like? Breast cancer isn't just a woman's disease.
Breast Cancer Awareness Symptoms Diagnosis And Treatment from images.onhealth.com Male breast cancer is rare, but anyone with breast tissue can develop breast cancer. Breast mri (magnetic resonance imaging) is a test that may be used to distinguish between benign. If it is found to ultrasound helps confirm correct needle placement. What breast cancer looks like on ultrasound? A consensus statement by the european group for breast cancer screening. Does an ultrasound show cancer? Many males with breast cancer have inherited a brca mutation, but there are other causes, including alcohol use disorder and exposure to certain hormones and ionizing radiation. This is because it is time consuming and you may miss some early sometimes breast cancer can look like a fibroadenoma and fibroadenomas can look like a cancer on ultrasound.
Teh w, wilson ar (1998) the role of ultrasound in breast cancer screening.
She looked at the screen, looked at bret, and said, let's. The use of ultrasound for breast cancer screening. Breast ultrasound is not usually done to screen for breast cancer. Why does my baby look strange in the ultrasound pictures? Both the mammogram and ultrasound looked fuzzy and gray on the screen and i have no idea how they determined the lump was just a benign cyst (thank god). Breast cancer appearancein the early stages, breast cancer is not usually visible, so ensure that physical examination is incorporated into checks as well. Though breast cancer is most commonly thought of as a disease that affects women, breast cancer does occur in men. Although male breast cancer is rare, it's important to watch for symptoms like breast lumps, skin doctors do not know what causes male breast cancer, but are aware that certain factors can these tests can help your doctor more closely look at tissue irregularities and determine the extent of any. Many people do not realize that men have breast tissue and that they can develop breast in dcis (also known as intraductal carcinoma), cells that lined the ducts have changed to look like cancer cells. Signs and symptoms of male breast cancer can include: Combined screening with ultrasound and mammography vs mammography alone in women at elevated risk of breast cancer. Breast cancer occurs mainly in women, but men can get it, too. Breast cancer can develop in males and females, but due to differences in breast tissue, the disease is much less common in males.
I hereby want to invite you to present your groundbreaking research on beta . Surat undangan pernikahan, surat undangan wisuda, dan banyak lagi . Contoh invitation letter dan terjemah invitationsjdi org. Contoh expression yang digunakan dalam formal invitation letters: Terdapat beberapa contoh formal invitation letter antara lain . 13+ Work Dinner Invitations - Word, PSD, Publisher | Free from images.template.net Having discussed about the idea of conducting workshops together with pt maju sejahtera, through this letter we invite pt maju sejahtera to . Contoh invitation letter dan terjemah invitationsjdi org. Contoh surat undangan formal dalam bahasa inggris contoh 1 dr. Surat undangan pernikahan, surat undangan wisuda, dan banyak lagi . Beberapa contoh formal invitation letter atau surat undangan resmi yaitu: Contoh expression yang diguna...
Make Your Own Anniversary Card Online Free - Happy Anniversary Happy Anniversary Card Free Greetings Island Happy Anniversary Cards Happy Anniversary Wishes Happy Anniversary Quotes - Create your own anniversary invitations to download, print or send online for free. . Our template and printing/sharing prompts guide you all the way. Anniversary greeting message and love quotes. Choose a card template or design your own card from scratch. With our beautiful anniversary frame etch the name of your special someone or special couple for eternity and put your favourite photo of them to seal the deal and sprinkle heavenly bliss over everyone. Make your card stand out using our design tools. With plenty of templates and clipart images, you can always find your own anniversary card ideas to create your arts. Our ecard maker has tons of amazing design options, and a huge selection of free ecard templates that is constantly updated with new stuff. How to create an awesome card...
How To Make Air Miles Card / Sharaf Dg On Twitter Make It Rewarding Use Your Air Miles Card At Our Stores Http T Co Hidq1pcv : All mileage plan award travel must be booked through alaska airlines. . We would like to show you a description here but the site won't allow us. Few services may not work properly , we are in maintenance mode for : But it should be done with care since you, and only you, are the party responsible for paying the. • get miles and even use cash miles by scanning your digital air miles card at checkout. Experts reveal why upgrading to first class is often the best use of your points. New american express® air miles®* reserve card cardmembers, earn 4,000 bonus miles after you charge $6,000 in net purchases to your card in your first 6 months of cardmembership.1. Earn up to 20,000 aeroplan points and a bonus buddy pass 1. By selecting a partner link you agree to share your data with these sites. Award travel with most of our partners can be bo...
Komentar
Posting Komentar